APP下載
活動
爆料
圖輯
AI爆報
追蹤新聞
4
柯文哲言詞辯論 宣判影片全紀
台灣彩券開獎直播中
三立iNEWS新聞台線上直播
LIVE三立+24小時直播
即時
柯P一審重判
鄭習會登場
新聞
熱門
政治
社會
娛樂
生活
新奇
健康
國際
兩岸
運動
財經
房產
旅遊
科技
汽車
遊戲
ESG
影音
總覽
政論
節目
熱搜
直播
iNEWS
專題
總覽
特企
專頁
大事件
彩券
專欄
民調
快訊
開季首盜寫生涯200盜 陳晨威成中職第5人
20:31
離奇巧合?今年5名中共海軍將軍接連病亡
20:29
14歲同窗送回家!雲南少女慘遭勒斃凌辱
20:28
八點檔男星失控暴怒 女星遭狂罵崩潰大哭
20:28
憂「有米無袋」包材漲近5成 農會米恐漲
20:23
律師看柯庭審嘆司法不公 柯黑:笑你不敢
20:20
美參議員拜會立院談軍購!綠委:看到曙光
20:20
看新聞才知道要關門 鍾允華得知時好驚訝
20:15
台股跌幅10.42%!專家:像全面出清特賣會
20:12
街頭表演鬧場 遭嗆「打賞才200」:難聽
20:09
馮德倫自嘲大小孩創動畫!曝與舒淇日常
20:09
iPhone越用越耗電!業者教「6延壽妙招」
20:09
60歲范琪斐認「交到砲友」 鬆吐真實感受
20:07
六福村狒狒脫逃遭射殺!技工二審判刑6月
20:06
網苦勸「不要戀愛腦」廖思惟61字直球反擊
20:04
10年沒守三壘林子偉曝春訓最後一天才開練
20:00
川普開撕英法不幫忙斬首:要油自己去搶
19:58
不爽留車內!邊牧反鎖主人淡定反擊網笑翻
19:53
回到台南面對老東家 林岱安賽前先找老友
19:49
泰音樂人WIM 7月浪漫登台 門票這天開搶
19:48
台灣彩券開獎直播中
20:31
柯文哲言詞辯論 宣判影片全紀
10:57
業務高手!中信房屋陳彥志逆襲創千萬業績
12:00
酷澎線上寵物展 貓砂飼料最快隔天到貨
18:00
能源危機通膨來襲 購屋自住兼避險功能
16:00
健一魔髮絲養髮慕絲全台上市
13:00
養髮產品怎麼選!選用天然植萃成分不刺激
13:00
徐欣瑩成藍白最強共主 領先鄭朝方近18%
20:00
新廟落成即行善!里港玉賢宮舉行大佈施
14:00
酷澎智慧物流中心啟用 台灣配送再進化
12:00
《浮聲之城》邀您牽手漫步臺中!
10:30
新竹縣長最新民調 徐欣瑩黨內領先陳見賢
20:00
首頁
關鍵字
五十肩
五十肩
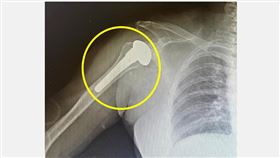
肩膀痛以為50肩!50歲女運將關節竟全磨損
台中一名50歲的女計程車司機,因長期上班手握方向盤,...
2026/03/30 16:35
過年吃到元宵!醫:「連續糖彈」恐五十肩
農曆春節假期剛結束,緊接著下週是元宵節。北市聯醫中興...
2026/02/26 10:41
五十肩不只肩膀問題!醫揭「恐怖真相」
一般認為五十肩是肩膀不適,但醫師王思恒表示,最新醫學...
2025/11/11 07:47
痛到慘停經 呂文婉崩潰哭曝1惡疾纏身
名嘴呂文婉近來上節目時透露身體狀況亮起紅燈,時間長達...
2024/07/20 15:25
手抬不起來是50肩?醫曝肩夾擠症候群也是
大興骨科診所黃暉程醫師表示,50肩屬於自發性發炎,發...
2024/05/02 17:42
獨/突爆惡疾動大手術 乃哥驚揭術後病況
64歲徐乃麟(乃哥)保養有方,他接受《三立新聞網》專...
2024/03/12 08:50
非老人專利!「五十肩」潛在風險群超廣!
本身有糖尿病、甲狀腺疾病,或曾經因腦中風、骨折導致活...
2023/10/26 13:59
「洗澡穿衣都無力」!OL半夜睡覺常痛醒
55歲從事文書工作的陳小姐本身患有糖尿病,長期用藥控...
2023/10/21 11:02
五十肩症狀分3階段!醫教自我檢測與治療
趙明哲醫師表示,五十肩在醫學上稱為「沾黏性肩關節囊炎...
2023/08/22 07:15
上班族快看!久坐竟等於安養中心老人
久坐就像是一名靜悄悄的忍者殺手,會在不知不覺中攻擊你...
2023/07/07 14:00
五十肩會自己好?醫:做不到1動作快就醫
五十肩又名冰凍肩,全名為「沾黏性關節囊炎」,肇因於肩...
2023/01/09 17:50
打完拳擊肩膀痛到不舉?她無法自行扣內衣
你也常有肩膀痠痛,痛到手舉不起來的困擾嗎?要當心了,...
2022/11/08 11:39
好不了的關節痛與扭傷 恐不正常血管作怪
45歲的黃小姐因跌倒導致右肩膀與腳踝受傷,即使黃小姐...
2022/10/28 10:12
肩膀疼痛五十肩 你可能有糖尿病卻不知?
55歲的王小姐本身有糖尿病史,半年前出現右邊肩膀疼痛...
2022/09/27 10:37
肩膀疼痛常見3原因! 簡單自我檢測
肩膀疼痛可說是日常最常見的問題之一,但有時候明明沒怎...
2021/11/15 00:00
手舉不起來 竟是17年前腎癌骨轉移
「肩膀痠痛」是中老年族群常見的困擾,多數人經過休息或...
2021/11/08 20:16
動力火車金鐘前夕 爆舊疾復發忍痛唱
第56屆電視金鐘獎頒獎典禮將於明(2)日晚間隆重登場...
2021/10/01 16:14
五十肩復健進展有限?原來還有夾擊症
一位55歲婦女,長期做家事、晾衣服,導致肩膀持續疼痛...
2021/09/09 07:10
綁頭髮前得深呼吸 五十肩一舉手就痛
年約45歲的林小姐某一天突然發現自己左肩疼痛,手舉不...
2021/05/04 15:21
復健科爆滿!五十肩增生療法降低疼痛
五十肩的學名是「沾黏性肩關節囊炎」,因關節囊發炎變厚...
2021/03/13 16:52
梳頭就冒淚!她有這症頭常痛坐到天亮
「痛到含淚梳頭髮、穿脫衣服都有問題!」45歲陳媽媽今...
2019/07/06 12:05
肩膀常疼痛?醫警告:恐是心臟求救聲
肩膀經常出現疼痛的狀況,小心是心臟在求救!壢新醫院復...
2019/03/21 15:05
她肩痛連拿鍋都難..竟是「這」破了
65歲蘇太太經營早餐店逾30年,因長期使用手臂、肩膀...
2018/12/12 10:03
民俗調理廣告整脊 恐吃25萬元罰鍰
民俗調理業者為了招攬生意,經常利用通訊軟體、社群網路...
2018/08/22 11:26
肩關節無力疑五十肩 錯誤治療反折磨
50歲趙姓女子,一年半來兩側肩部手臂酸麻無力,且肩關...
2016/09/11 09:43
中年爸爸打拼之餘 小心五十肩上身!
常發生在50歲左右中年人身上的「五十肩」,手一舉高就...
2016/08/05 14:03
側睡竟變大小奶 醫師說這兩點要注意
30歲的女生從小習慣側睡,沒想到胸部大小竟然差很大。...
2016/03/27 15:27
修復筋骨像補馬路!食補該怎吃?
你有聽過「四十腰、五十肩、六十膝蓋骨」嗎?越上了年紀...
2015/10/28 10:13
被師傅打 治憂鬱、五十肩、靈光病?
「靈療」真的有這麼神奇嗎?台中一間玄武堂的堂主自稱是...
2014/06/13 07:04
最新圖輯
更多
初孟軒、鍾岳軒專訪
龍千玉與翁立友領豪記唱片群星拜年
Rain鄭智薰小巨蛋演唱會
金在中演唱會
羅志祥30周年演唱會
凱琳專訪
黃鐙輝、吳念軒、黃騰浩專訪
第62屆金馬獎得獎後台
第62屆金馬獎紅毯
劉書宏專訪
今日頭條
1
薛仕凌捲閃兵案「態度惡劣」遭求刑2年6月
2
不斷更新/2026縣市長點將 藍綠白一次看
3
鄭麗文訪中行程曝!4/8中山陵謁陵
4
柯文哲爆通靈人找上門!被帶去佛寺聽遺言
5
李貞秀資格惹議!呂秀蓮:她能選立委總統
6
沈玉琳全面復出添變數 本人鬆口曝現況
7
「跨性別者服替代役」挨批 內政部回應了
8
苗栗噁醫「熊抱猥褻」員工 衛福部出手了
9
官員爆「伊朗內部大亂」高層怕死不敢開會
10
林毅夫肯定鄭習會!稱有利於台灣發展
HOT焦點
更多
酷澎線上寵物展 貓砂飼料最快隔天到貨
健一魔髮絲養髮慕絲全台上市
新廟落成即行善!里港玉賢宮舉行大佈施
頻道推薦
直播✦活動
三立新聞網
為了提供更好的閱讀內容,我們使用相關網站技術來改善使用者體驗,也尊重用戶的隱私權,特別提出聲明。
了解最新隱私權聲明
知道了